חיים טובים יותר מתחילים בחיוך יפה
ברוך הבא למרפאת שיניים ד״ר מועאד
מרפאה ידידותית בקרבתך
מרפאת שיניים ד"ר מועאד – מרפאה ידידותית, מקצועית ונגישה, ממש לידך
רופא שיניים מנוסה
מרפאת שיניים ד"ר מועאד – ניסיון, מקצועיות ויחס אישי בכל טיפול
חיוך מושלם – מתחיל כאן
עם מכשיר צילום מתקדם במקום, לא צריך להתרוצץ – הכל נעשה כאן, בנוחות ובמהירות.
📍 שדרות רוטשילד 17, חדרה.
בואו לגלות חוויית טיפול אחרת – עם יחס אישי, מקצועיות וחיוך גדול כבר מהכניסה
מחויב למצוינות שיניים
אנו יוצרים חיוכים יפים ומוארים יותר
במרפאתנו, המחויבות למצוינות היא עיקרון מנחה בכל שלב בטיפול. אנו מקפידים על שימוש בטכנולוגיה מתקדמת, חומרים באיכות הגבוהה ביותר וצוות מקצועי ומנוסה, כדי להבטיח לכל מטופל טיפול שיניים ברמה הגבוהה ביותר. אנו מאמינים ששילוב של ידע, ניסיון וגישה אישית מוביל לתוצאות מיטביות ולחיוך בריא ומרוצה.
ד״ר בשארה מועאד
רופא שיניים כללי
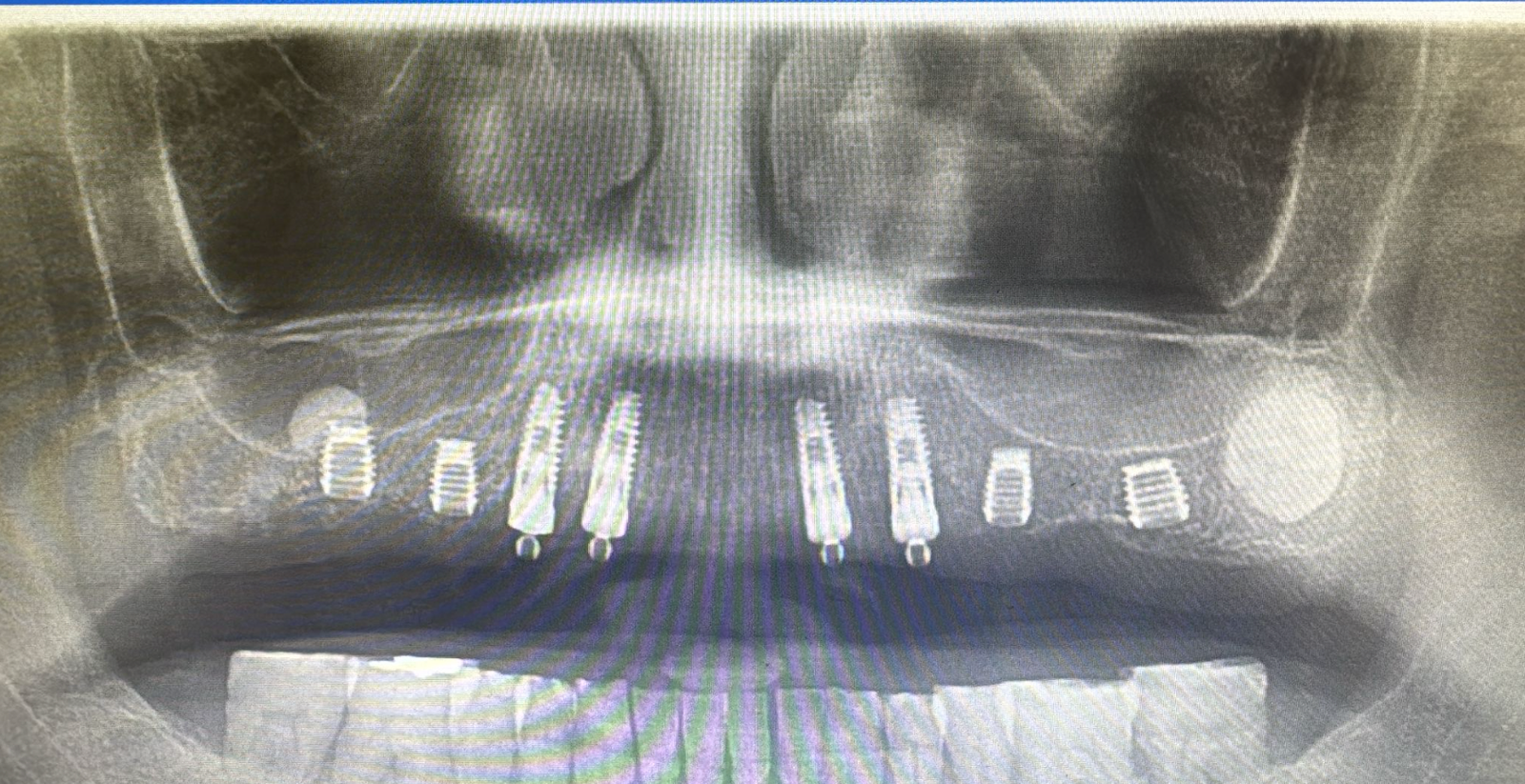
שתלי בייקון - שיקום שיניים מתקדם, מדויק ואסתטי
במרפאת ד”ר בשארה מועאד אנו עובדים עם שתלי Bicon – מערכת שתלים מתקדמת המאפשרת טיפול מדויק, אסתטי ונוח יותר.
יתרונות בולטים:
-
שתלים קצרים במידת הצורך – לעיתים חוסכים פרוצדורות מורכבות.
-
חיבור יציב ללא בורג (Locking Taper) – איטום מצוין ותחושת יציבות.
-
אסתטיקה גבוהה – קו חניכיים טבעי ומראה שן “אמיתי”.
-
תהליך יעיל ונוח – לרוב פחות התערבויות וזמן החלמה מהיר יותר
טיפול מלא בלוח הזמנים שלך
מביא חיים לחיוך שלך
רופא שיניים מנוסה
רופא שיניים מנוסה, עם ידיים מיומנות וידע עשיר, לטיפול מקצועי ובטוח
טיפול מראש
טיפול מראש מונע בעיות עתידיות ושומר על בריאות הפה לאורך זמן
תוצאות מובטחות
תוצאות מובטחות הודות לשילוב של ניסיון, דיוק וטיפול מותאם אישית לכל מטופל
ציוד מודרני
המרפאה מצוידת בטכנולוגיה מתקדמת וציוד מודרני להבטחת טיפול מדויק ויעיל
חילוץ
חילוץ שן מתבצע רק כשאין ברירה, תוך הקפדה על תהליך בטוח, מדויק וללא כאב מיותר
הלבנה
הלבנת שיניים מקצועית מחזירה לחיוך שלך את הברק והביטחון – במהירות וביעילות
שתלים
שתלים דנטליים מחליפים שיניים חסרות בצורה טבעית, יציבה וארוכת טווח
פלטה
יישור שיניים באמצעות פלטה שקופה או קבועה משפר את האסתטיקה והתפקוד של החיוך
תעלות שורש
טיפול בתעלות שורש מציל שיניים פגועות ומשיב להן תפקוד מלא ללא כאב
מחלת חניכיים
רפואת שיניים קוסמטית מחזירה לך את הביטחון עם חיוך אסתטי, טבעי ומרשים
רפואית שיניים קוסמטית
רפואת שיניים קוסמטית מחזירה לך את הביטחון עם חיוך אסתטי, טבעי ומרשים
בחינות וניקוי
בחינות תקופתיות וניקוי מקצועי מסייעים לשמירה על היגיינת הפה ולמניעת בעיות שיניים
צילומי רנטגן
צילומי רנטגן מתקדמים מאפשרים אבחון מדויק וטיפול מותאם אישית לשמירה על בריאות השיניים
יש לנו את כל צרכי השיניים שלך
רפאות שיניים לארוח החיים של היום
מטופל חדש
אם זו הפעם הראשונה שלך אצלנו – ברוך הבא למרפאת שיניים ד”ר מועאד! אנחנו כאן כדי להעניק לך טיפול מקצועי, יחס אישי וחוויית טיפול נעימה כבר מהמפגש הראשון. זימון תור למטופל חדש הוא פשוט, מהיר ונעשה בליווי הצוות שלנו. נשמח להכיר אותך ולהתחיל יחד את הדרך לחיוך בריא ובטוח
- אנחנו כאן לכל שאלה
